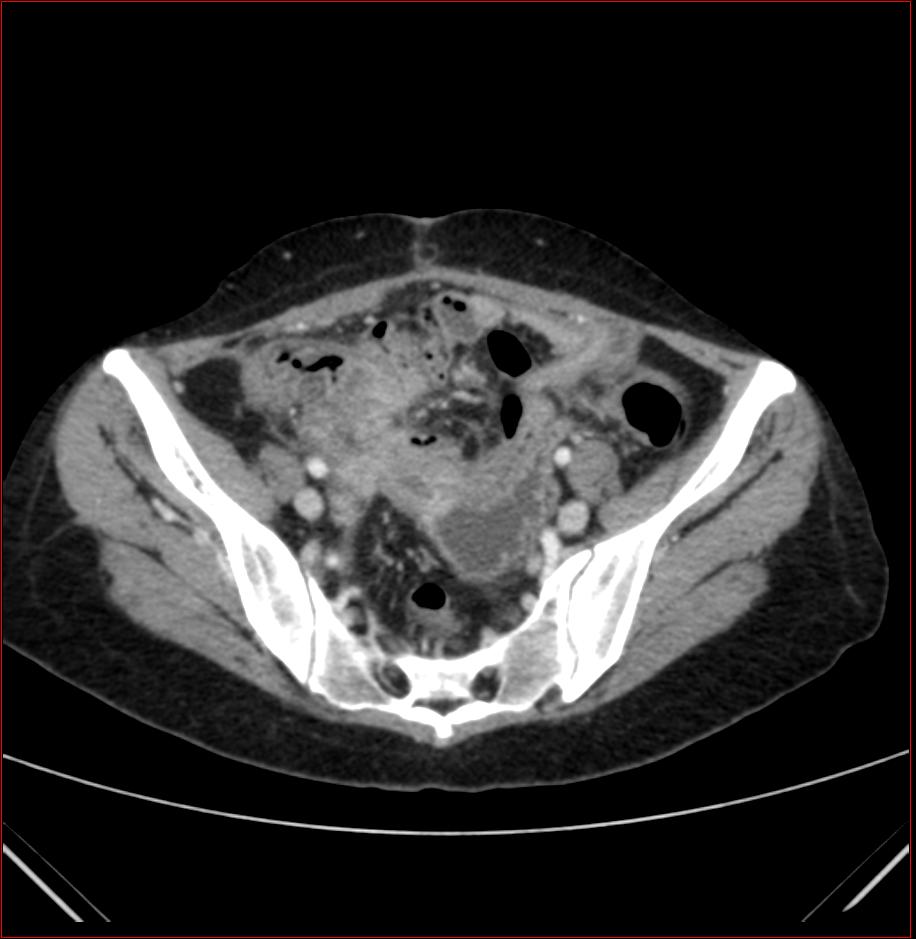
A mesenterialis erek dilatatioja es rigiden egyenes lefutasa a mesenterialis zsirszovet proliferatioja mellett. Allitolag pathognomikus Crohn-ra, de mashol azt talalni, hogy inkabb csak jellemzo, mert lehet egyeb gyulladasos belbetegsegben is.
mesenterialis pathologiakrol tobbet:


