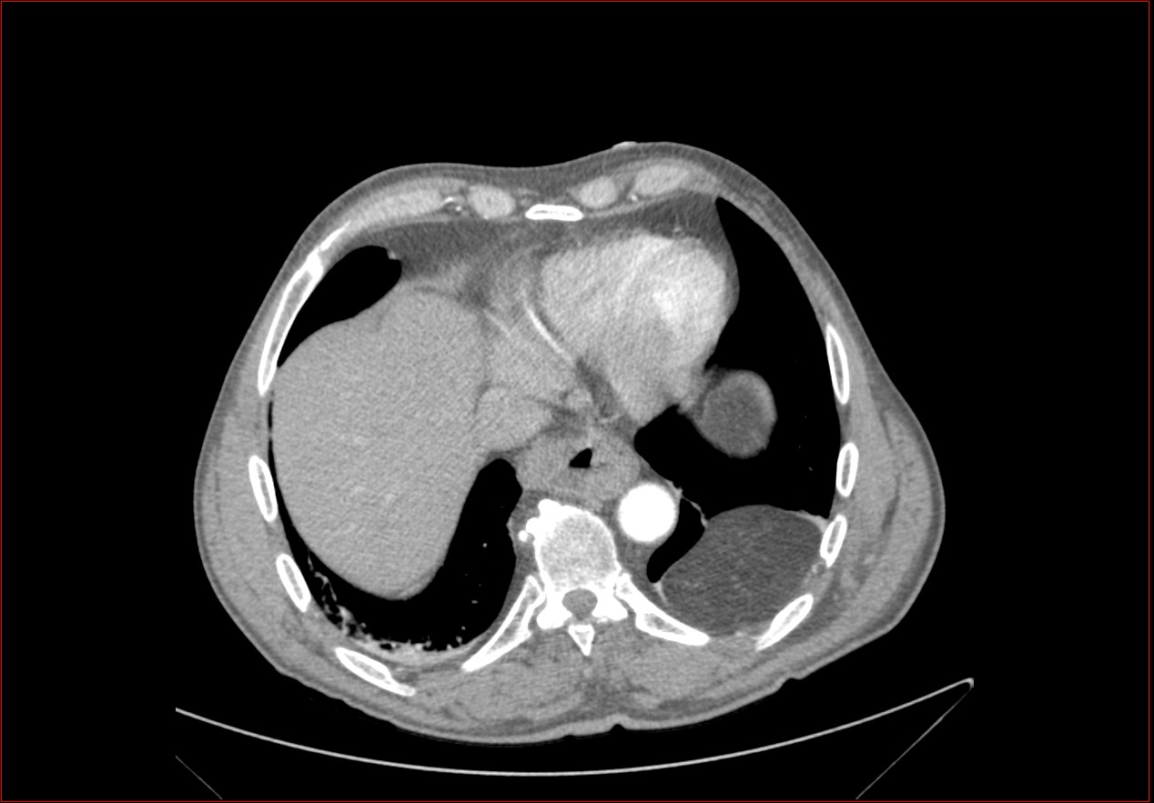
La hernie de Bochdalek est une hernie due à la persistance du canal pleuropéritonéale ce qui aboutit à un hiatus (orifice) dans la partie située en arrière et sur le côté du diaphragme.
La hernie de Bochdalek est plus fréquente à gauche de l’organisme qu’à droite, ceci grâce au foie qui joue un rôle de protection du côté droit.
La hernie de Bochdalek est quelquefois bilatérale c’est-à-dire des deux cotés.
Link a Morgagni herniahoz (kozepvonali elulso hernia, ritkabb)



