Ez csak egy szep pelda a meg kompenzalt cirrhoticus majra.
linearis fejjel irregularis majfelszin
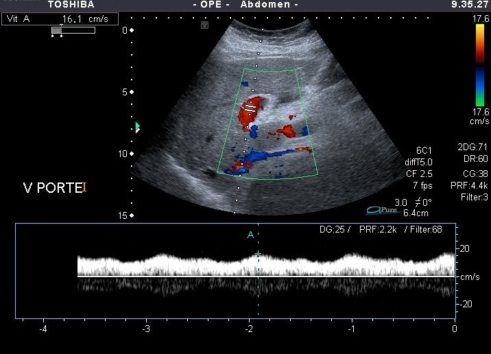
A v. portae bal oldali fotorzseben es a distalisabb agaiban jo aramlas (12 cm/s felett az atlagos sebesseg, 15cm/s felett a maximalis sebesseg)
A v. portae jobb oldali agaban a magas ellenallasnak megfelelo lassult aramlas (12 cm/s alatti ertek)
Ennek megfelelo magas RI ertek az a. hepaticaban jobb olodalon
Normalis RI ertek az a. hepatica baloldali fotorzseben
A teljesen felesleges panorama-kepen rosszul latszik, de azert eloben egyertelmu volt a bal lebeny es az I. segmentum hypertrophiaja
Az egesz arra utal, hogy a jobb lebenyben a vascularis ellenallas megemelkedett, ez a fibroticus.
A bal lebeny kompenzatorikusan nagyobbodik meg (az I segmentumal egyutt) es kompenzalt fazisban nem mutat sem magas ellenallast, sem irregularis konturt, merthogy nem is fibroticus.
A nem transplantalt majban az arterias RI ertek 0.7 alatt optimalis.
A v. portae aramlasa 15 cm/s maximalis es 12 cm/s atlagos sebesseg alatt szamit lassultnak.






