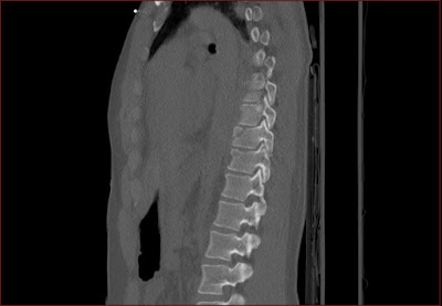
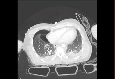
Csigolyatores a thoracalis gerincszakaszon Szerző: admin | jún 10, 2010 | Fracture, Pneumothorax, Trauma | Nincsenek hozzászólások A csigolyatest felso zarolemezt is erinto elulso torese tores a processus spinosuson