De van meg valami:
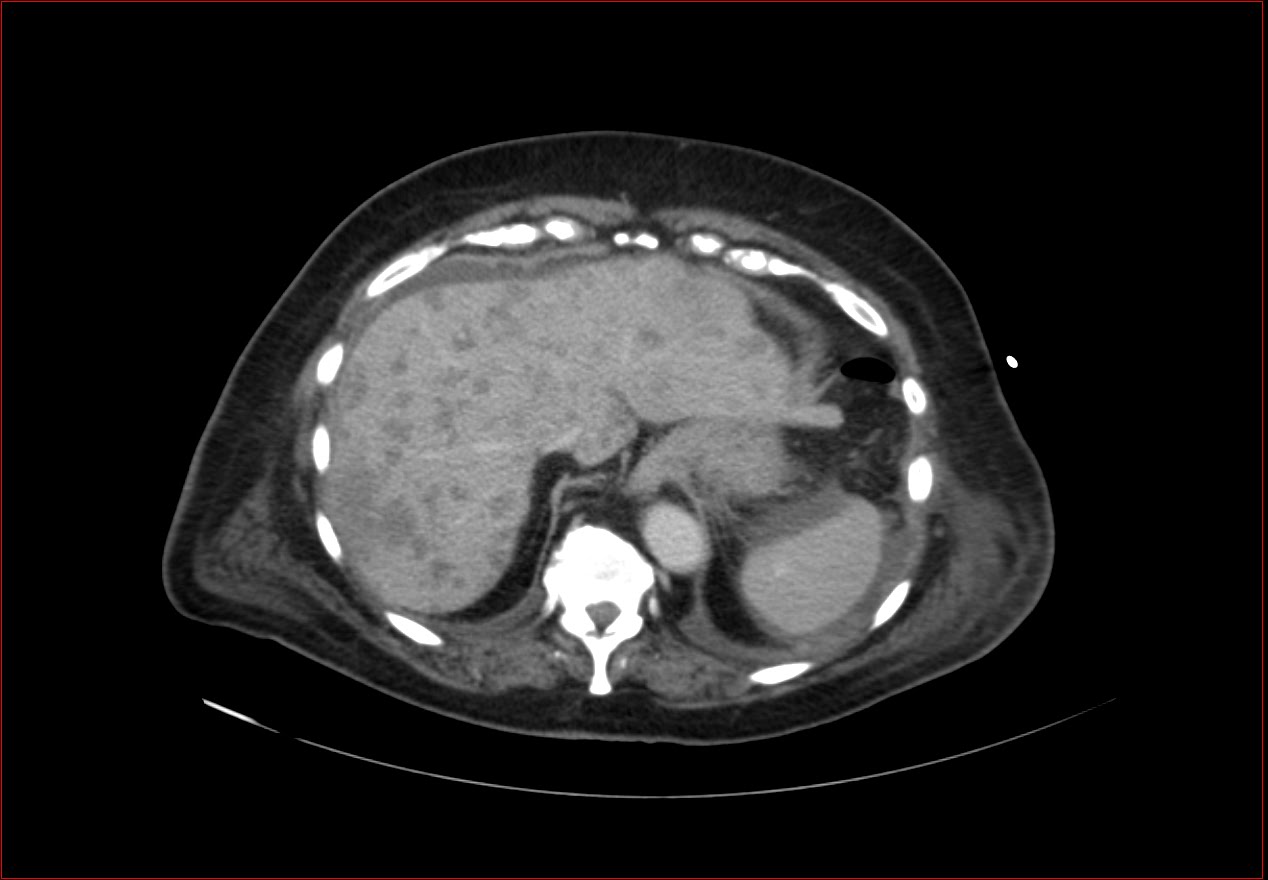
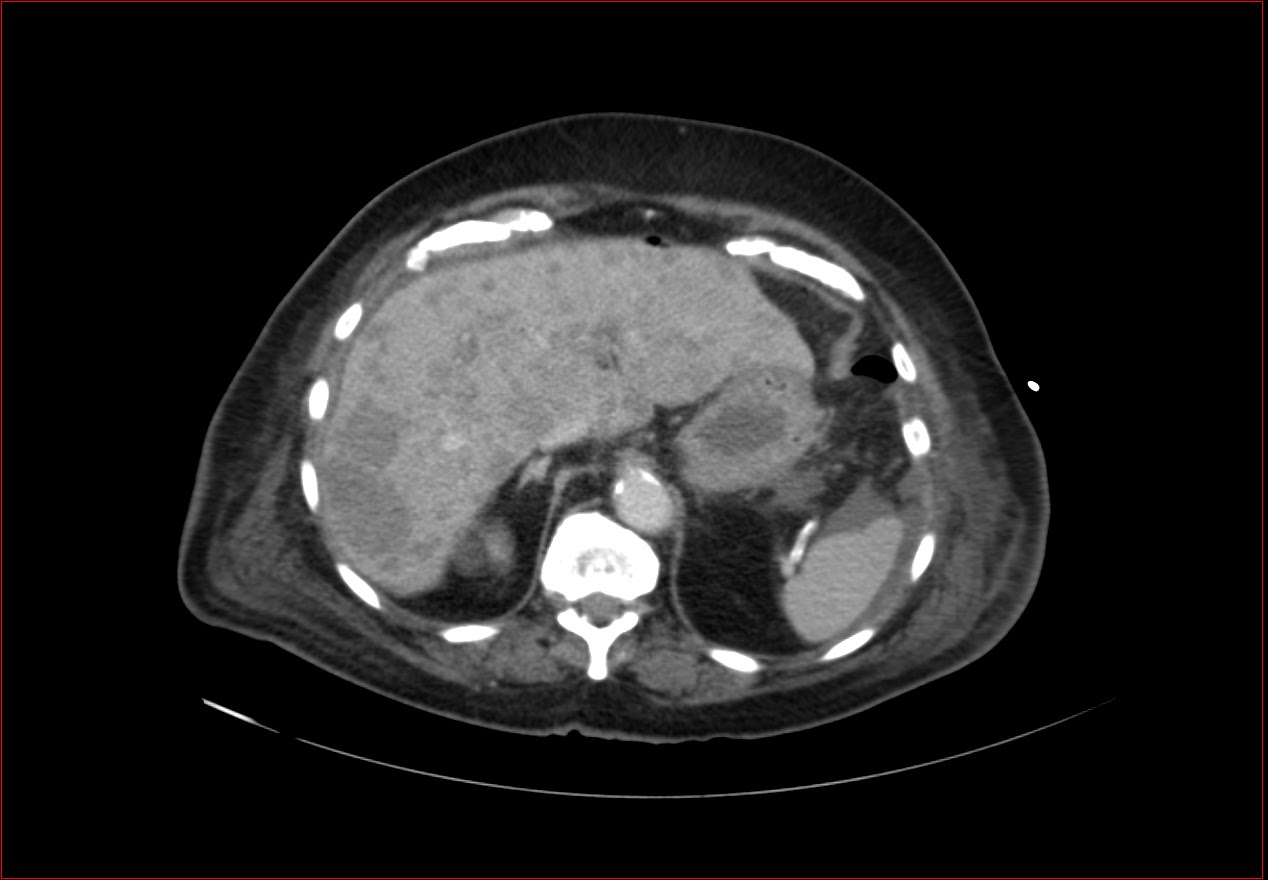
eros hasi fajdalom miatt kertek a 78 eves no vizsglatat, korabban egy keves hasi folyadek jol latszott UH-al, az elozmenyben ezen kivul nagy B-sejtes lyphoma duodenalis erintettseggel (akarmit is jelentsen ez). Mas betegseg nem ismert.
Pneumoperitoneum
az ok nem ismert

