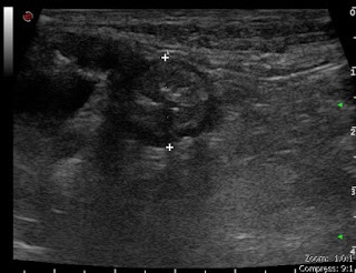
Appendicitis Szerző: admin | szept 10, 2010 | Appendicitis | Nincsenek hozzászólások Jobb alhasi enyhe nyomásérzékenység.4500-as fehérvérsejtszám.CRP 1,5.UH-kép alapján laparoscopos eltávolítás történt.Appendix bunkós végű, gyulladt.