Oldal kiválasztása

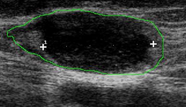
Az alsó képen körülrajzolt terület a teljes nyirokcsomó kontúrját jelöli; jól látszik az asszimetrikusan kiszélesedett, echoszegény köpenyzóna

UH, FTAB: Bal oldalon inguinalisan a tapintható terimének megfelelően egy kb.
4 cm-es nyirokcsomó látható, melynek köpenyzónája 23 mm-es szakaszon kiszélesedett. E területen a köpenyzóna ovoid, csaknem echomentes, seprűszerűen hypervascularisalt. E területről UH vez. FTAB-t
Felmerül haematologiai betegség gyanúja.

Cytologia: A látott cytologiai kép és FCM vizsgálati adatok elsősorban florid follicularis reakcióra utalnak

5×0 315558
2010.09.29.