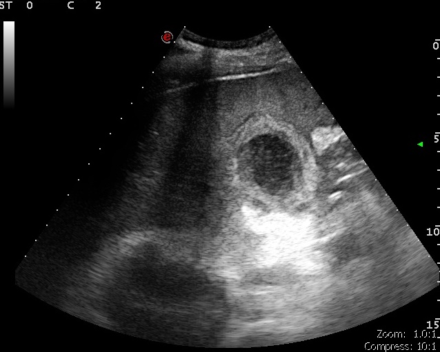
Cholecystitis calculosa Szerző: admin | okt 11, 2010 | Cholecystitis | Nincsenek hozzászólások L.Z. találata Megvastagodott, réteges szerkezetű epehólyagfal. Sűrű epetartalom, kövek. Következményes peritonitisre utaló híg tartalommal telt, peristalticát nem mutató vékonybélkacsok látszódtak a kismedencében 5×190792