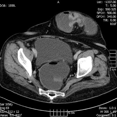
Megnagyobbodott, intenzíven halmozó mesenterialis nyirokcsomó a középvonalban
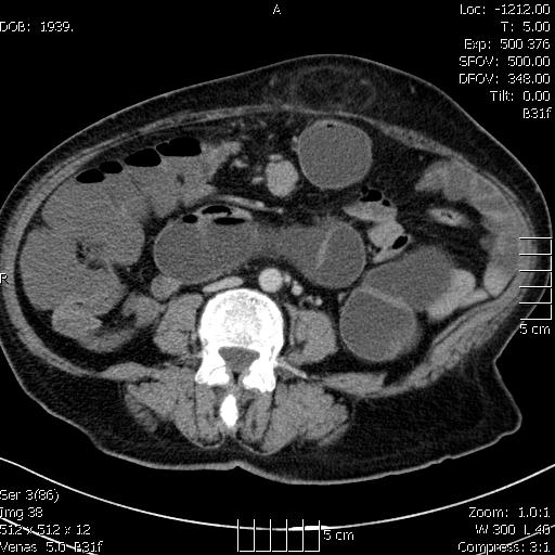
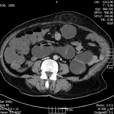
A vastagbelek vízzel töltve (hydro-colo CT készült, mert a colonoscopia nem volt végig kivitelezhető)
A vastagbelek vízzel töltve (hydro-colo CT készült, mert a colonoscopia nem volt végig kivitelezhető)
