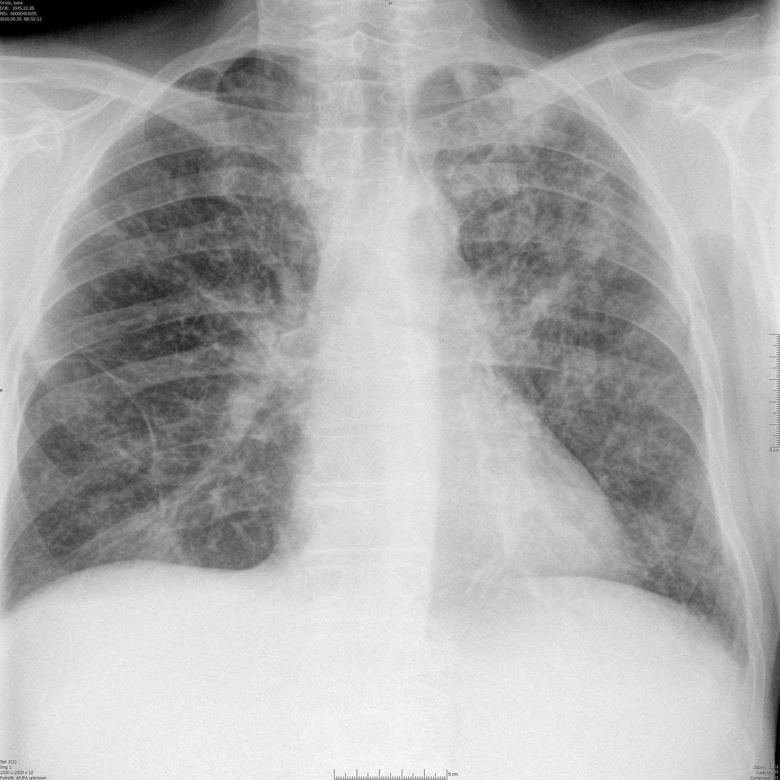
Miliáris árnyékok bilaterálisan, régebbi gyulladás maradványa a bal tüdőcsúcsban
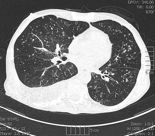
Miliáris gócok axiális CT felvételen
Korábbi, szintén tuberculoticus eredetű gyulladásos maradvány a bal tüdőcsúcsban, mely a hilust vongálja
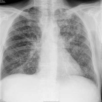
Nyirokcsomók a mediastinumban, jobb oldali pleuralis folyadék
5×481655
