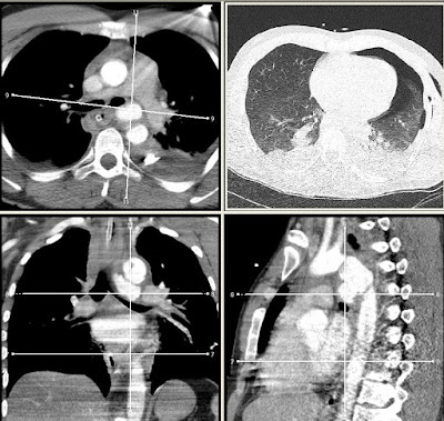
| műtéti leírás alapján: thoracalis stent-grafttal megoldott pulzáló haematoma decelerációs sérülés esetén típusos localisatio az aorta isthmusán |
Nagyon hasonló eset az AJR-en: itt
2010.12.17. 400
5×0799390
| műtéti leírás alapján: thoracalis stent-grafttal megoldott pulzáló haematoma decelerációs sérülés esetén típusos localisatio az aorta isthmusán |
Nagyon hasonló eset az AJR-en: itt
2010.12.17. 400
5×0799390