Oldal kiválasztása

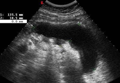
acut pancreatitis a pancreas testének necrosisával
2 héttel később látott pseudocysta

http://www.radiologyassistant.nl/en/47a07dcd6498c

Central gland necrosis is a subtype of necrotizing pancreatitis.
It represents necrosis between the pancreatic head and tail and is nearly always associated with disruption of the pancreatic duct.
This leads to persistent collections as the viable pancreatic tail continues to secrete pancreatic juices.
These collections react poorly to endoscopic or percutaneous drainage.
Definitive treatment often requires distal pancreatectomy.

186388
2011.01.04. CT
2011.01.20. UH
LZ gyűjtése