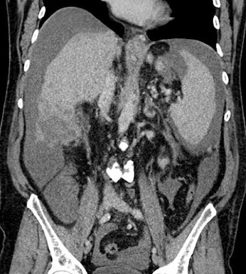
Cirrhosis talaján kialakult hepatocellularis carcinoma Szerző: admin | jan 20, 2011 | Focal liver lesions | Nincsenek hozzászólások cirrhosis, apró góc a VIII segmentumban, ascites a májban látható malignus góc részben necroticus, a májfelszínt áttörte