Oldal kiválasztása

A beteg felvételére DIC miatt került sor, a háttérben AML igazolódott.
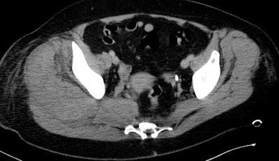
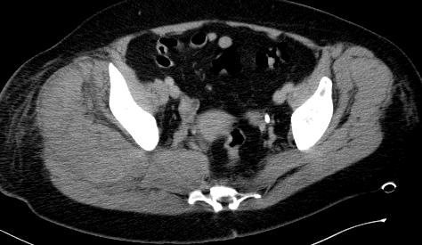
A jobb oldali crista biopsia után a csípőtájék fájdalmassá vált, a beteg a jobb lábát emelni nem tudta, haematocrit esett.

Nagy kiterjedésű, coronalis síkban 20 cm-es, az incisura ischiadica maioron beterjedő (valószínűleg a n. ischiadicust comprimáló) haematoma látszik.

63471
2011.01.14. CT