Oldal kiválasztása

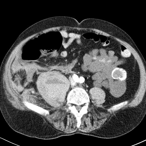
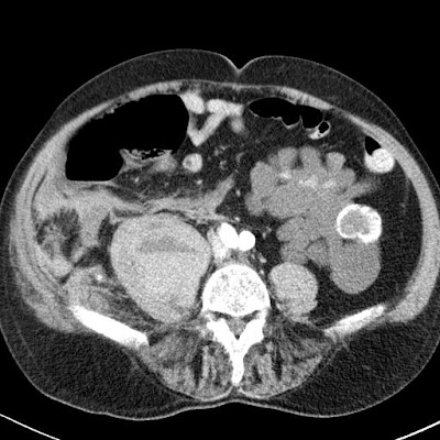
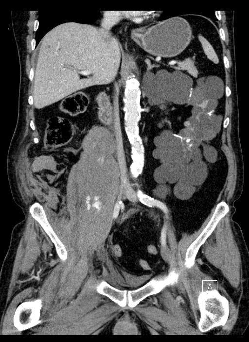
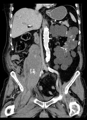
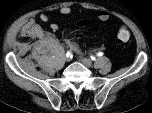
Jobb alhasi fájdalmas resistentia kivizsgálása történt:

artériás fázis
vénás fázis
egyidejű kis obturator externus haematoma
Jobb oldalon a  m. psoas maior területén nagy bevérzés látszik, melyen belül egy folyadék-folyadék nívó határon artériás fázisban jelzett mennyiségű, vénás fázisban egyértelműen kivehető kontrasztanyag extravasatio látszik. Aktív vérzés.

54645
2010.12.31.

Dr. Várady Edit engedélyével