Oldal kiválasztása
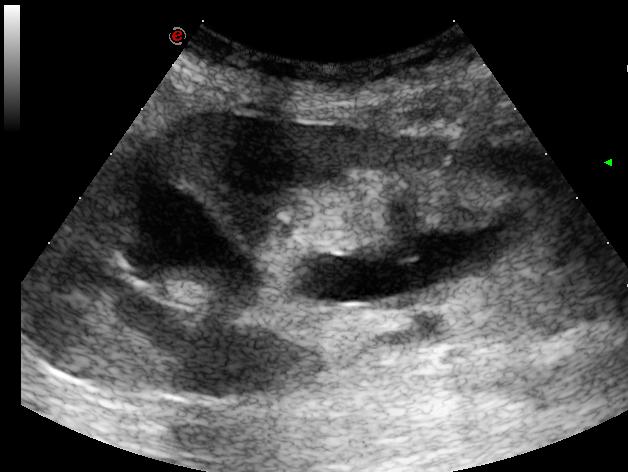
a vascularis resistentia a normál határon belül (RI: 0,72)
az ureter fala vaskos, oedemás és hypervascularisatiot mutat (ez okozza a pyelectasiát)
 
percutan nephrostoma készítés történt UH navigációval

És az okok:
4 éve történt vese transplantatio, mely után az ureter-stent bent maradt, majd egy kontroll vizsgálat során (három nappal az UH vizsgálat előtt) azt eltávolították.
A percutan nephrostoma behelyezését követően a vesefunkciós értékek lassan javultak.

303446
2011.01.19.