|
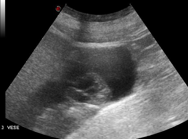
2011.02.08.
– UH – |
| A jobb vese alsó pólusábn 5 cm-es cystosus képlet, melyen belül vaskos septumok látszanak |
| a septumokban az ultrahangos kontrasztanyag már korai fázisban is megjelenik |
| a septumok és a cysta fala is a veseparenchymával egyező mértékben halmozzák a kontrasztanyagot |