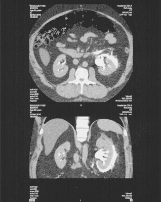
Fornix ruptura vesekő talaján Szerző: admin | febr 10, 2011 | Forniceal rupture, Kidney stones | Nincsenek hozzászólások natív és kontrasztanyagos mérésen a vese körül folyadéksáv látszik késői fázisban (7 perc) a kontrasztanyag a vesekontúr mellett keskeny sávban megjelenik (fornix ruptura) scannelt képekUH vizsgálattal felfedezett ureterolithiasis