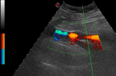
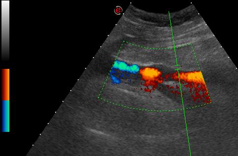
| a műtét utáni UH-vizsgálat a v. umbilicalis tágulatát mutatja szabályos áramlással |
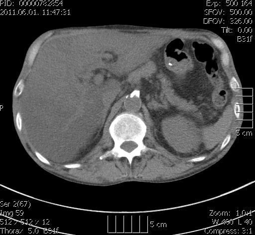
| natív mérés |
| coronalis recon (az elváltozás körbeveszi a ligamentumot) |
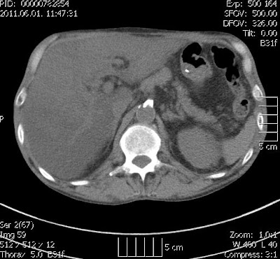
| mellkas Ct vizsgálat (hasi szelet) axialis rekon – a lig falciforme hepatis mellett egynemű, sűrű folyadék densitású képlet |
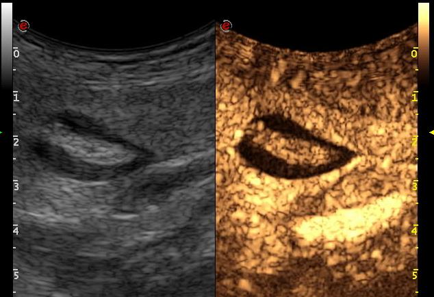
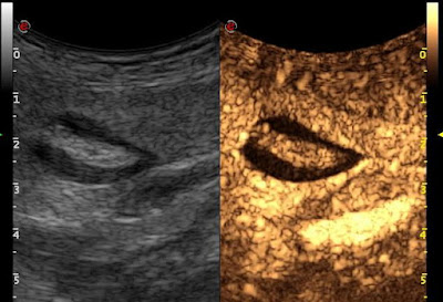
| hasonló megjelenés UH vizsgálattal axialis… |
| …és coronalis síkban |
| kontrasztanyagos UH vizsgálattal látszik, hogy a kérdéses elváltozás vascularisatiot nem mutat |
Pancreasfej resectio és choledocho-jejunostomia történt feji pancreastumor miatt.