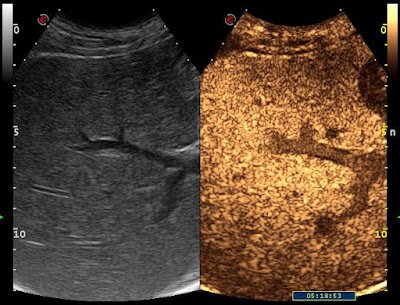
Májmetastasisok Szerző: admin | jún 23, 2011 | CEUS, Focal liver lesions | Nincsenek hozzászólások alapbetegség: pancreastumorUH-vizsgálattal egy góc sem volt egyértelműen elkülöníthető. 8028902011.06.21. – US