 |
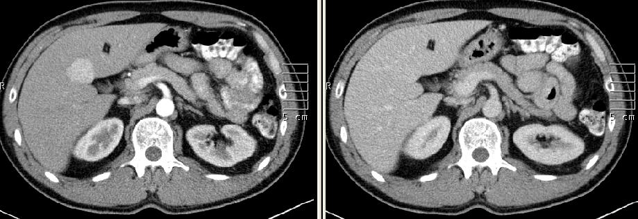
| jelen vizsgálatán artériás fázisban erőteljesen halmozó hepaticus góc (30 mm), vénásban isodens |
 |
| két évvel korábbi CT vizsgálatán ugyanolyan halmozásdinamikájú a góc, de kisebb (20 mm) |
 |
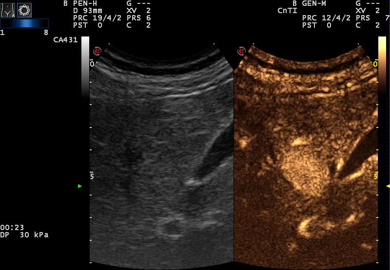
| B-képen isoechogén, korai artériás halmozás kontrasztanyagos UH-vizsgálattal |
 |
| ua |
 |
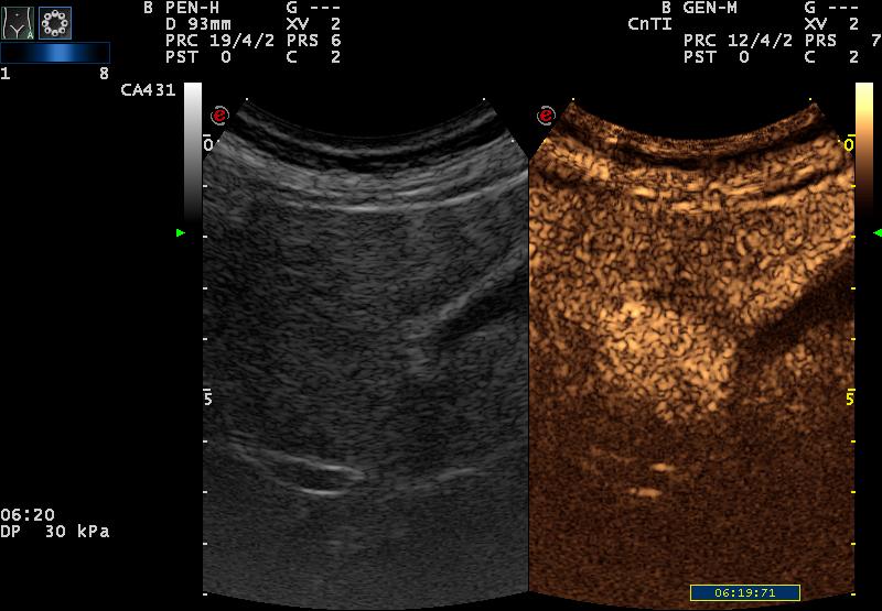
| késői fázisban (6. perc) még mindig jobban halmoz a környezeténél |
Heretumoros beteg
– metastasis a késői halmozás miatt kizárva
– nem a periféria felől telődik (nem haemangioma)
– nincs centralis ellátó ere, küllőszerű artériái, centralis hege de késői fázisban is intenzívebb
– növekszik, és a beteg szteroid-hormonpótlásban részesül
FNH/adenoma
l.d.: http://radiographics.rsna.org/content/21/4/877.full.pdf+html CT
l.d.: http://radiographics.rsna.org/content/25/2/333.full?sid=a5f65a78-bbc3-4ca0-940c-b27759b02d24
Ez utóbbi cikk szerint (ellentétben a szakirodalomban általában leírtakkal) kontrasztanyagos UH vizsgálattal késői fázisban az adenoma a környező parenchymánál jobban halmoz.
195381
2011.06.20.