Oldal kiválasztása

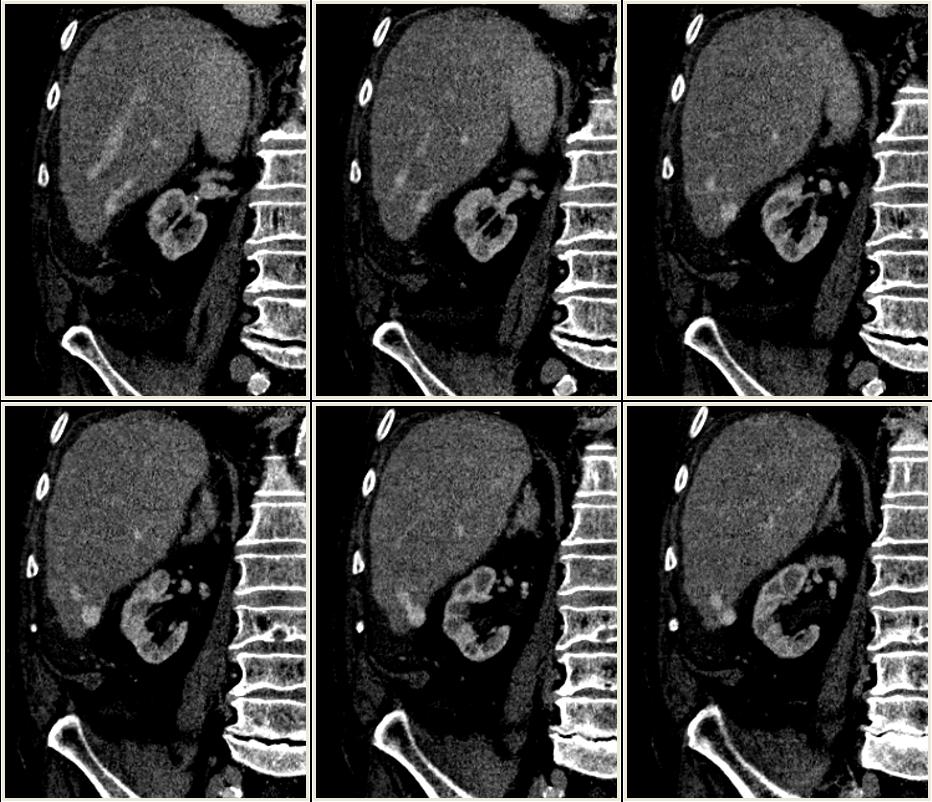
A máj VI-os szegmentumában egy ovoid, a kontrasztanyagot a porta és a májvénákban látott mértékben halmozó képlet, melyhez két vaskosabb értörzs fut. Az egyik a jobb oldali portális ágból, a másik pedig a jobb oldali hepaticus vénából.
= veno-venosus malformatio

329745
2011.06.03