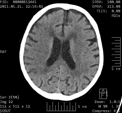
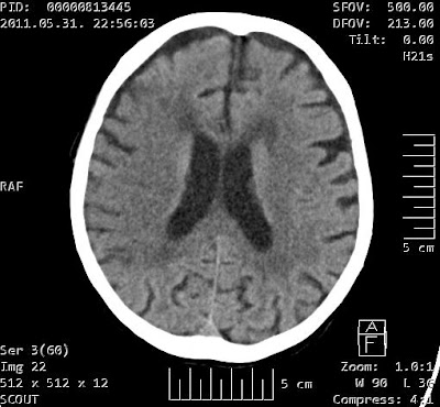
Ischaemiás stroke a jobb oldali a. cerebri media ellátási területén Szerző: admin | júl 6, 2011 | Brain | Nincsenek hozzászólások Az a. cerebri media területén az agyállomány hypodensebb az ellonoldalinál. Az intergyralis sulcusok keskenyebbek, a gyrusok kontúrja elmosott. A szürke és fehérállomány határa elmosott.