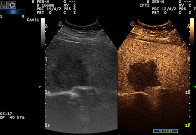
Hepatic metastasis of ovarian cancer – CEUS Szerző: admin | szept 8, 2011 | CEUS, Focal liver lesions | Nincsenek hozzászólások arterial phase – rim enhancement (poorly detectable) wash out total wash out lesion 3087332011.07.12.