Oldal kiválasztása
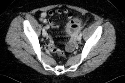
left tubo-ovarial abscess blowing the sigmoid wall

coronal reconstruction
ovarian vein pointing at the lesion

Tubular fluid-filled nonvascular structures in the pelvis that are associated with an adnexal mass are suggestive of dilated fallopian tubes that correlate with cases of pelvic inflammatory disease. A finding of an adjacent or surrounding complex mass confirms the diagnosis of TOA. 

130143
2011.10.19.
Ferencz J és Csete M. esetgazdák