Oldal kiválasztása

Coronal reformatted CT: dilated cecum  in the left upper quadrant of the abdomen. The cecum is displacing the stomach superiorly. Obstructed small bowel.

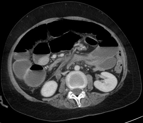
whirl-sign according to the twisted cecum (organoaxial form)

210081
2011.11.01.
lásd még:
http://radiographics.rsna.org/content/29/5/1281.full