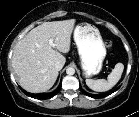
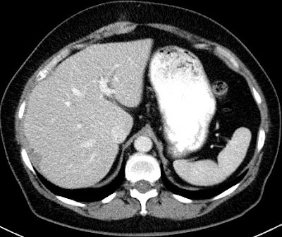
| mild infiltration of the omental fat |
| peritoneal nodular enhancement next to the liver surface, representing metastases with history of ovarian cancer |
Hasznos link:
CT and MRI of Hepatic Contour Abnormalities
http://www.ajronline.org/content/184/1/75
http://www.ajronline.org/content/184/1/75/F17.expansion.html
2011.11.21
CT400
87663