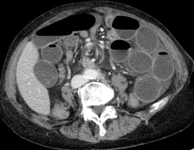
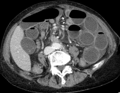
| dilated small bowels according to mesenteric swirl |
| center of the whirl is the superior mesenteric artery |
Whirl sign definition by http://radiology.rsna.org/content/226/1/69.full.pdf :
http://radiology.rsna.org/content/226/1/69.full.pdf
394692
2011.11.09.
CT4000