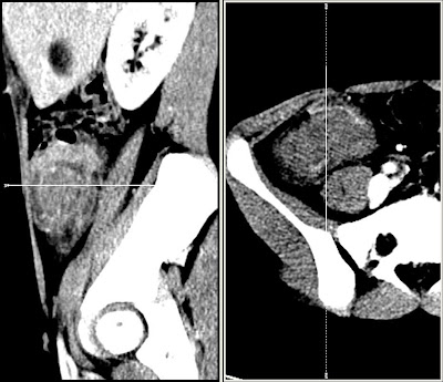
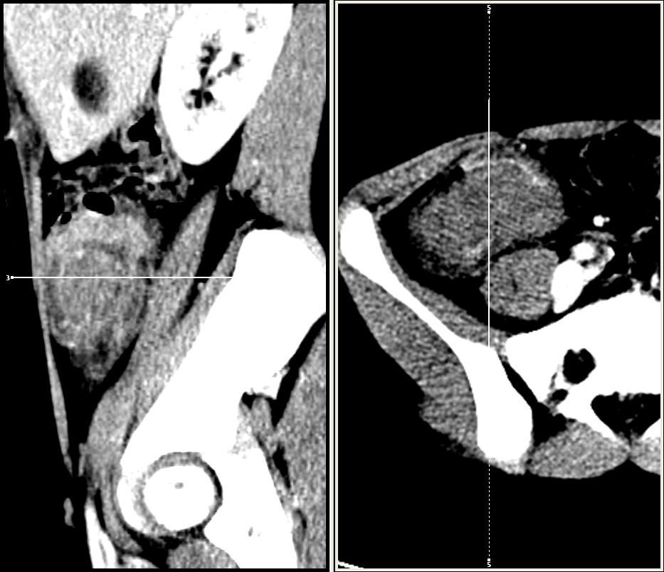
Ileocolic intussusception (leading point: colic Burkitt lymphoma) Szerző: admin | jan 2, 2012 | Colon cancer, Ileus, Invagination, Oncohaematology | Nincsenek hozzászólások 12 years old boy 3 days after surgical desinvagination; the leading point wascolon affected by Burkitt lymphoma 8302602012.01.02. – 400