Oldal kiválasztása

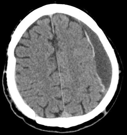
Subacute SDH following trauma without fracture.

SDH is a type of intracranial hemorrhage that occurs  after the rupture of a bridging vein beneath the dura,above the pia-arachnoid.     
note the midline shift

Bullock et al reported that „an acute [subdural hematoma] SDH with a thickness greater than 10 mm, or a midline shift greater than 5 mm on computed tomography (CT) scan should be surgically evacuated, regardless of the patient’s Glasgow Coma Scale (GCS) score.”[link]

473708
2012.01.22. Akác