Oldal kiválasztása
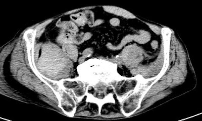
NECT shows spontaneous hyperdensity (55-60 HU) in the swollen iliacus muscle

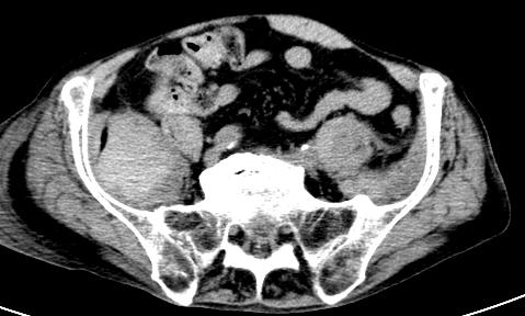
CECT – arterial phase: no sign of acut exravasation (bleeding)

Typical localisation of intramuscular bleeding in elderly patients.
Other frequent localisations: psoas muscle, abdominal wall, quadriceps femoris muscle.
Corresponding, even more severe case: here

219395
2012.05.08.