Oldal kiválasztása
Courtesy of Omar Giyab

Lab: elevated eosinophil count
Symptoms: recurrent pulmonary infections treated with antibiotics, dyspnoe, weight loss

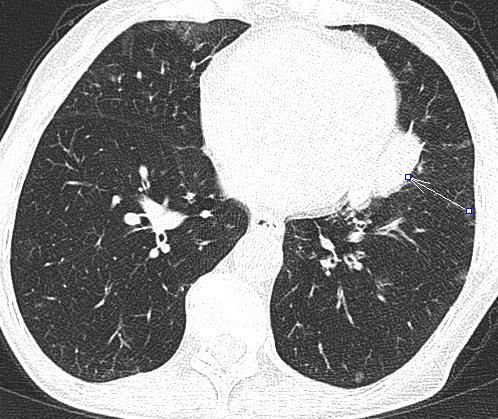
affects usually the upper lobes predominantly

residual band-like opacity parallel to pleural surface

predominantly peripheral consolidations with surrounding ground-glass opacity; the septal thickening is more common in acute eosinophilic pneumonia

Usually rapid response to corticosteroid therapy.

2012.05.21
061535729