Oldal kiválasztása

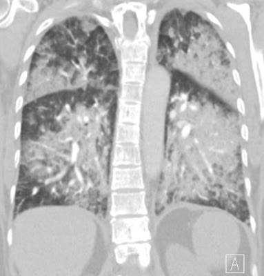
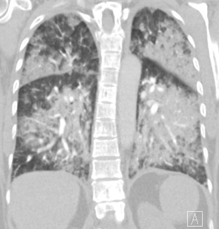
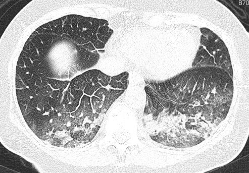
ground-glass opacities mixed with consolidation; typically the GGO forms the edge of the opacities
spared costophrenic angles

prominent septal lines only in the area of the GGO indicating, the subacut phase, when resolution begins; opacities are mainly gravity dependent
partial resolution in a few days

00000365559
2012.08.02