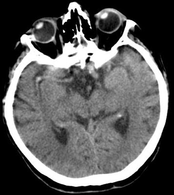
Acute ischemic stroke Szerző: admin | dec 27, 2012 | Brain, Ischemic stroke | Nincsenek hozzászólások hyperdens media sign (D0) ischemic infarction – right MCA territory (D5) 6911612012.12.13.