![]() |
|
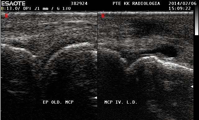
| A small amount of encapsulated fluid lies between the extensor ligament and the head of the 4th metacarpus. |
![]() |
| red: extensor ligament, blue: fluid, yellow: metacarpus |
The findings above explain the pain that the patient felt flecting her MCP joint.
On flection the extensor ligament presses the fluid to the joint.

