![]() |
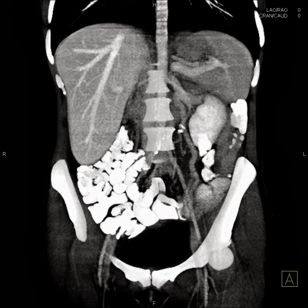
| curvilinear reconstruction with the narrowing of the left RA |
![]() |
| Dilated left ovarian vein on coronal reconstruction. |
![]() |
| Left renal vein (left parasagittal reconstruction) |
![]() |
| Note the minimal dorsal deviation of the descending aorta at the level of the compressed left renal vein. |
Compression of the left renal vein by the superior mesenteric artery and aorta.
141927
2014.02.17.



