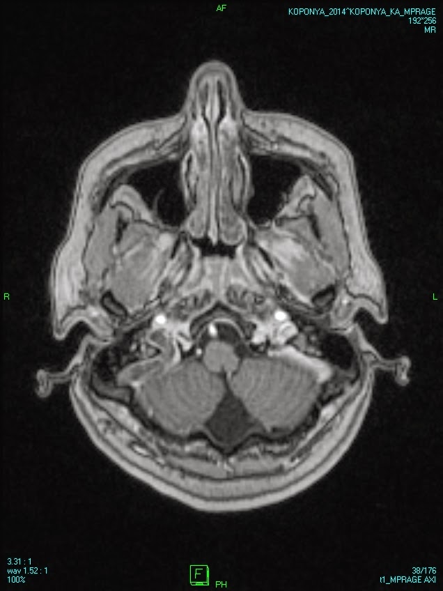
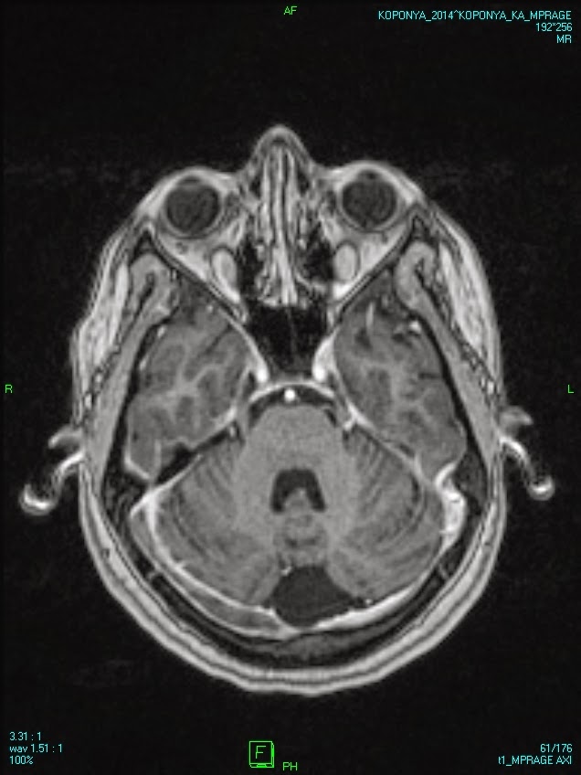
Dural venous sinus thrombosis Szerző: admin | szept 10, 2014 | Brain, Vascular | Nincsenek hozzászólások oral contraceptive in the medical history widened right transverse sinus without total obstruction affected sigmoid sinus on the right 00000815444