Right upper and lower extremity paresis
![]() |
| subdural haemorrhage with active bleeding, not related to the symptoms |
![]() |
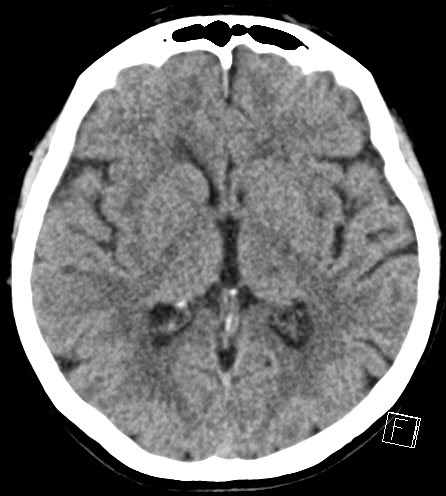
| hardly detectable left thalamic infarction |
![]() |
| ventrolateral left thalamic infarction related to the symptoms (appropriate windowing of the basal ganglia) |
00000814000
2014.12.09.
Courtesy of Molnár Krisztián


