![]() |
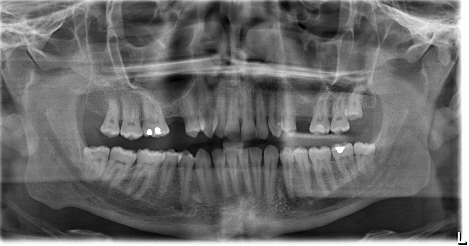
| Coronoid-condylar index: CCI = GD:GE CCi > 1.15 –> coronoid hyperplasia |
The most common symptom of bilateral coronoid hyperplasia is limitation of mandibular opening without visible facial deformity. The etiology and pathogenesis of coronoid hyperplasia are unclear. The condition can be diagnosed by panoramic radiographs and/or with 3-dimensional CT reconstructions.
