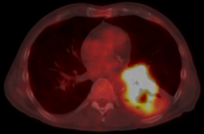
| large left lung tumour involving the left main bronchus |
- Anatomy
- Appendicitis
- Biliary tract
- Bladder
- Bone tumor
- Brain
- Cardial
- CEUS
- Cholecystitis
- Chondral injury
- Cirrhosis hepatis
- Colitis
- Colon cancer
- Comb sign
- Congenital
- Crohn disease
- CXR
- Diaphragm
- Diffuse liver disease
- Diffuse skeletal
- Disc herniation
- Diverticulitis
- Focal liver lesions
- Foot
- Foreign body
- Forniceal rupture
- Fracture
- Gastric
- H1N1
- Haematoma
- Head & neck
- Hepatitis
- Hip
- Histology
- HRCT
- Ileus
- Intracranial haemorrhage
- Invagination
- Ischemic stroke
- Kidney stones
- Knee
- Lauge-Hansen
- Ligamentous injury
- Lobar atelectasis
- Lump and bump
- Lymphatic system
- Malignancy
- Meniscus
- Mesenteric ischemia
- MSK
- Muscular
- Nerve
- Normal variants
- Oncohaematology
- Orbita
- Ovarium
- Paediatric
- Pancreas
- Paranasal sinuses
- Parasitosis
- Patellar
- PE
- Peritoneal carcinosis
- Peritoneum
- PID
- Pneumatosis parietalis coli
- Pneumonia
- Pneumoperitoneum
- Pneumothorax
- Prostata
- Pulmonary fibrosis
- Pulmonary haemorrhage
- Renal cyst
- Renal infarction
- Renal tumor
- Shoulder
- Sigmoiditis
- Skin
- Small joints
- SOL
- Spiegel hernia
- Spine
- Spleen
- Tendon
- Testes
- Thrombosis
- TIC
- TMJ
- Transplant kidney
- Trauma
- Tuberculosis
- ultrasound
- Uncategorized
- US intervention
- Vascular
- Volvulus
- Wrist
- WTF