Oldal kiválasztása
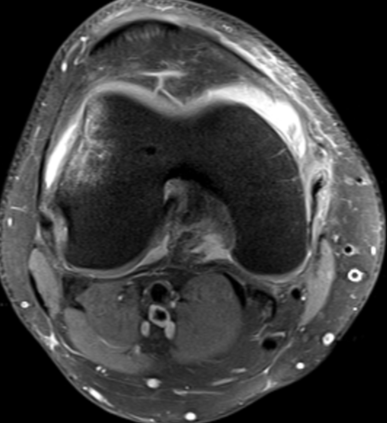
PD FS Axi: Transient patellar dislocation with typical subcortical lateral femoral condyle contusion and a tear of the medial patellar femoral ligament (MPFL). The MPFL tear is located posteriorly near its junction with the medial collateral ligament.

PD FS Axi: Grade IV chondral injury of the lateral aspect of the patellar articular surface is noted. Wiberg type III patella (markedly smaller medial patellar facet) is seen; predisposing factor for patellofemoral dislocation. Large amount of subsequent suprapatellar fluid collection.