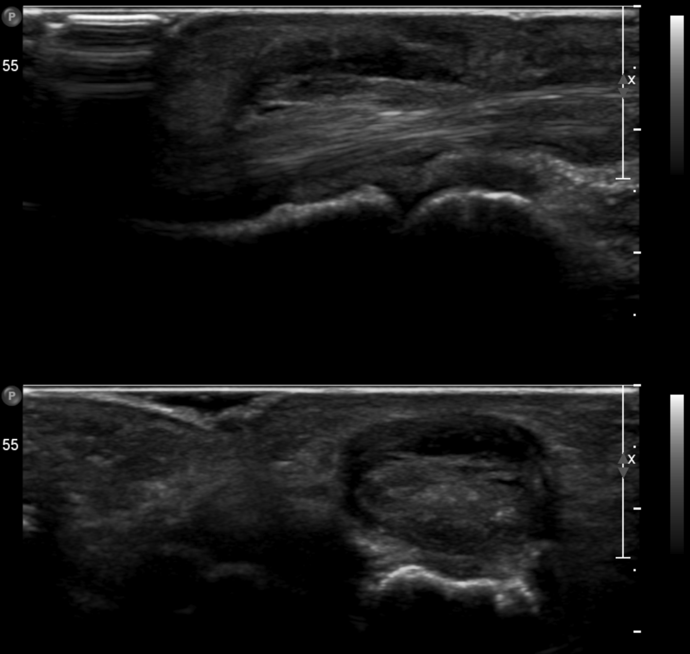
Trigger finger Szerző: admin | szept 4, 2015 | Ligamentous injury, MSK, Small joints | Nincsenek hozzászólások USS Sag & Axi at the level of the MCP joint: Gross thickening of the A1 pulley of fourth flexor tendon on the right without vascularity consistent with the trigger finger symptoms.