Oldal kiválasztása
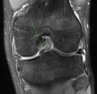
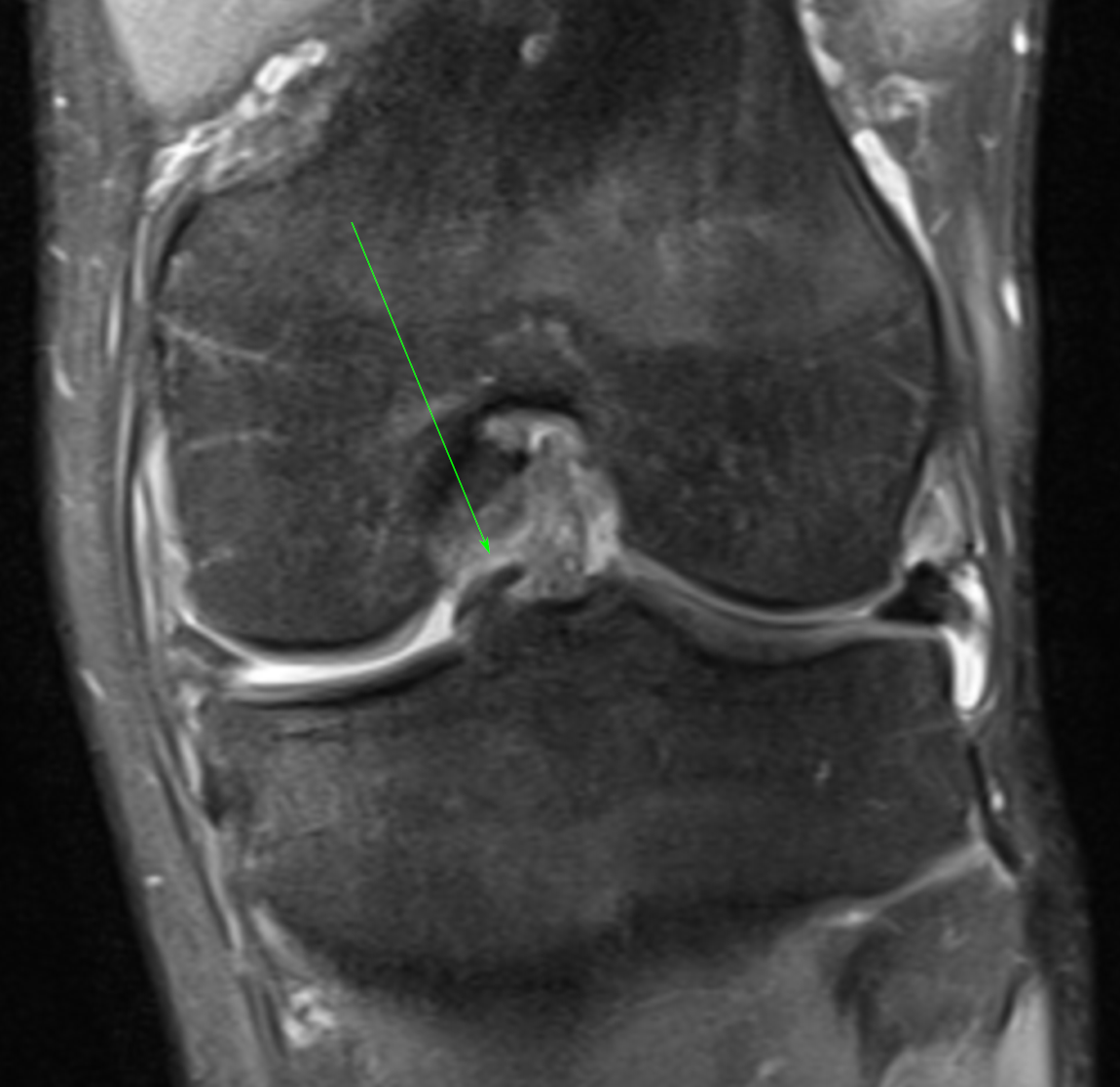
21 y, male. Intermittent locking and ongoing medial compartment pain followingtwisting injury.



T2w Sag: ACL fibers are undulated and show decreased steepness compared to the condylar roof. Discontinuity of  almost all of the fibers is also noted in keeping with high-grade ACL tear.
 

PD FS Cor & Axi: Vertical longitudinal meniscal tear with mesial displacement of free edge fragment into intercondylar notch (arrow). Displaced fragment maintains anterior and posterior attachments to peripheral remnant (anterior attachement can be seen on axial image).