Szerző: admin | márc 18, 2011 | Biliary tract, Cholecystitis
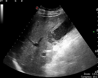
a beteg típusos jobb bordaív alatti panaszokkal érkezettzárókő az epehólyag nyakában körkörös, réteges fali megvastagodással
Szerző: admin | okt 11, 2010 | Cholecystitis
L.Z. találata Megvastagodott, réteges szerkezetű epehólyagfal. Sűrű epetartalom, kövek. Következményes peritonitisre utaló híg tartalommal telt, peristalticát nem mutató vékonybélkacsok látszódtak a kismedencében5x190792