Szerző: admin | júl 5, 2011 | CEUS, Focal liver lesions
jelen vizsgálatán artériás fázisban erőteljesen halmozó hepaticus góc (30 mm), vénásban isodenskét évvel korábbi CT vizsgálatán ugyanolyan halmozásdinamikájú a góc, de kisebb (20 mm)B-képen isoechogén, korai artériás halmozás kontrasztanyagos UH-vizsgálattaluakésői...
Szerző: admin | jún 23, 2011 | CEUS, Focal liver lesions
alapbetegség: pancreastumorUH-vizsgálattal egy góc sem volt egyértelműen elkülöníthető.8028902011.06.21. – US
Szerző: admin | jún 7, 2011 | CEUS, Focal liver lesions
a műtét utáni UH-vizsgálat a v. umbilicalis tágulatát mutatja szabályos áramlássalnatív méréscoronalis recon (az elváltozás körbeveszi a ligamentumot)mellkas Ct vizsgálat (hasi szelet) axialis rekon – a lig falciforme hepatis mellett egynemű, sűrű folyadék...
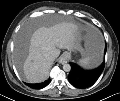
Szerző: admin | jan 20, 2011 | Focal liver lesions
cirrhosis, apró góc a VIII segmentumban, ascitesa májban látható malignus góc részben necroticus, a májfelszínt áttörte
Szerző: admin | jan 20, 2011 | Colon cancer, Focal liver lesions, Peritoneal carcinosis, Pulmonary fibrosis
sigma tumormájmetPericoecalisan, az epigastriumban és a bal hypochondriumban nagy (pericoecalisan a 9-10 cm-es nagyságot elérő), a peritoneummal kapaszkodó hypodens képletek: peritonealis carcinosis a kismedencei peritoneum-áthajlásban a nyíllal jelölt képlet...
Szerző: admin | dec 1, 2010 | Focal liver lesions
emlő tu. metastasisa májban5x0 288507 (2010.11.24) haematoma a VI-segmentumbanLC műtét során sérült porta és cava5x0 764001 (2010.11.29.)haemangioma5x0 177782