Szerző: admin | nov 23, 2017 | HRCT
Tracheal (accessory bronchus) seen on the right on coronal MinIP reconstruction. #CT #FOAMrad #radiology
Szerző: admin | okt 29, 2014 | HRCT, Vascular
aberrant systemic artery arising from the celiac trunknormal bronchial supplyPatient with recurrent hemoptysis in the A&E.Isolated systemic arterial supply to normal lung (ISSNL) is included in the „sequestration spectrum” as originally proposed by...
Szerző: admin | szept 10, 2014 | HRCT
air-fluid levelsituated in the RULenhancing wall7730582014.09.10.
Szerző: admin | júl 10, 2014 | HRCT, Oncohaematology, Pneumonia
right upper lobe mass-like consolidation with a surrounding ground-glass opacity halothe halo sign refers to the early stage of invasive pulmonary aspergillosis23077
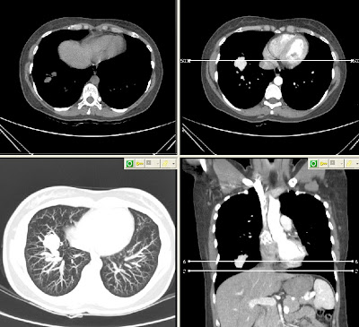
Szerző: admin | okt 30, 2013 | HRCT, Vascular
NECT axial – CECT axial – pulmonary window MIP axial – MIP coronal MIP coronal with the feeding vessels1493672013.09.18.
Szerző: admin | okt 30, 2013 | HRCT, Pulmonary haemorrhage
alveolar haemorrhageaspergillosis considered 2 weeks before (patient with lymphoma)6217982013.10.21.