Szerző: admin | máj 13, 2012 | Pneumothorax
Reverberation artefacts on M-mode indicating pneumothorax.The ‘sandy beach’ sign in the controlateral, normal lung.8451062012.05.03. – Akac
Szerző: admin | nov 22, 2011 | Pneumothorax
linear density parallel to heart borde, dissection of air into neck and chest wall consequence of alveolar rupture as a result of increased intraparenchymal pressureair dissects along perivascular sheaths to hilum and mediastinum246054...
Szerző: admin | dec 22, 2010 | CXR, Lobar atelectasis, Pneumothorax
– a bal hilus lehúzott,a rekesz jelzetten magasabban áll- a bal tüdőfél transparentiája növekedett- a bal tüdőfél érrajzolata az ellenoldallal összehasonlítva ritkásabb- a szívre vetülően közepes intenzitású árnyék látszik(a háttérben centrális tüdőtumor)a bal...
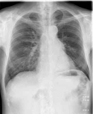
Szerző: admin | szept 4, 2010 | Pneumothorax
Hirtelen kezdődött mellkasi fájdalom a bal oldalon. Az előzményben korábbi PTX, bullák nincsenek.
Szerző: admin | jún 10, 2010 | Fracture, Pneumothorax, Trauma
A csigolyatest felso zarolemezt is erinto elulso torese tores a processus spinosuson