Szerző: admin | okt 21, 2014 | Brain, Thrombosis, Vascular
A bilateral paramedian thalamic infarct due to an occlusion of the artery of Percheron was revealedThe artery of Percheron is a solitary trunk representing an uncommon anatomic variant that provides bilateral arterial supply to the paramedian thalami and the rostral...
Szerző: admin | jún 4, 2014 | Thrombosis, Vascular
coronal MIP reconstructionAortoiliac occlusive disease refers to complete occlusion of the aorta distal to the renal arteries. Possible collaterals (from radiopaedia.org):superior mesenteric artery > inferior mesenteric artery > superior hemorrhoidal artery >...
Szerző: admin | okt 25, 2011 | Mesenteric ischemia, Thrombosis, Vascular
circumferential enhancement in the mesenteric vein850092011.1021
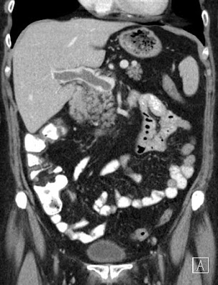
Szerző: admin | szept 8, 2011 | Mesenteric ischemia, Thrombosis, Vascular
Metastatic ovarian cancer in the patient history.3135922011.09.07.
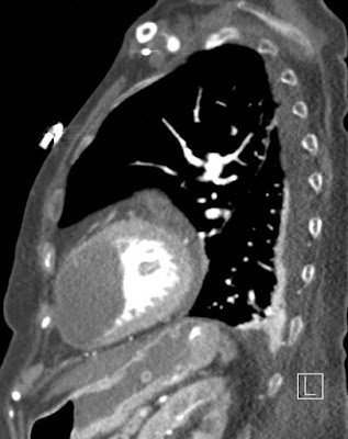
Szerző: admin | júl 6, 2011 | Cardial, PE, Thrombosis
Kamrai infarctust követően kialakult szívcsúcsi aneurysma talaján fejlődött thrombusmelléklelet: thromboembólus a jobb alsó lebenyt ellátó pulmonalis törzsben7802762011.07.06.
Szerző: admin | máj 10, 2011 | Renal tumor, Thrombosis, Vascular
a tumorthrombus cranialis része nem érintkezik a vénafallal (lebegő)8114092011.05.06.