Oldal kiválasztása
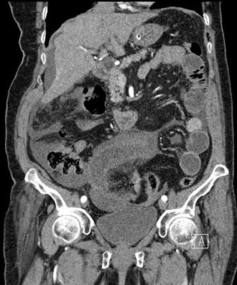
Organoaxial cecal volvulus

Organoaxial cecal volvulus

Coronal reformatted CT: dilated cecum  in the left upper quadrant of the abdomen. The cecum is displacing the stomach superiorly. Obstructed small bowel.whirl-sign according to the twisted cecum (organoaxial form)2100812011.11.01.lásd...
Vékonybél volvulus ischaemiával

Vékonybél volvulus ischaemiával

„C” alakú, tágult vékonybélkacssigne de bec = tranzicionális zónafali ischaemiát jelző csökkent halmozás, falmegvastagodás, a mesenterium beszűrt(terminális ileum intakt)a tr. coeliacus és az a. mes. sup. telődése szabályos5x0 107726 –...
Organoaxialis sigma volvulus

Organoaxialis sigma volvulus

45 koruli ferfi. Elozmenyben hasi mutet nincsen. Ket napja puffad a beteg hasa, azota nincsen szeklet. A CRP minimalisan emelkedett, a FVS normalis. Laz nincsen, feszes, gazos has.Vastagbel occlusio eseten vizsgalando:- coecum a helyen van-e (volvulus coecalis eseten...