![]() |
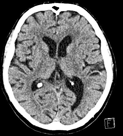
| hyperdens media sign of the M3 (opercular segment) |
![]() |
| mild hypodensity according to the supplied territory (retrospective finding) |
![]() |
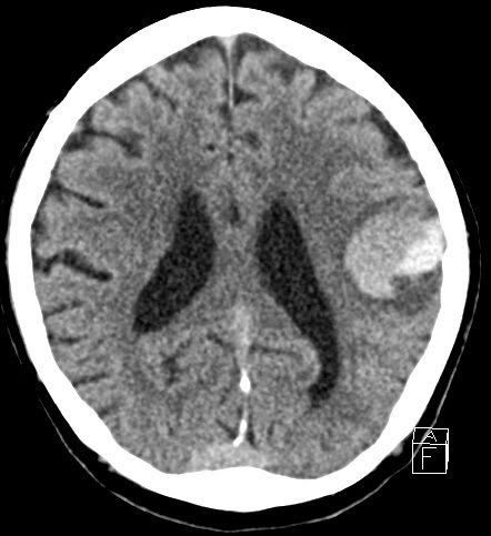
| hemorrhagic transformation on day-2 |
2014.11.06.
00000694695
The MCA is divided into M1, M2, M3 and M4 segments:
- M1: from the origin to bifurcation/trifurcation (the limen insulae); also known as horizontal or sphenoidal segment
- M2: from bi (tri) furcation to origin of cortical branches (circular sulcus of insula); also known as insular segment
- M3: opercular branches (those within the sylvian fissure); also known as opercular segment
- M4: branches emerging from the sylvian fissure onto the convex surface of the hemisphere; also known as cortical segment
source: Radiopaedia



